Slik vinner du kampen mot tannstein i lunsjpausen
Du spiser lunsj på jobb fem dager i uken, kanskje mer. Hvert måltid etterlater seg spor i munnen din – noen er usynlige, andre utvikler seg sakte til det harde, gulbrune belegget du kjenner som tannstein. Det er fort gjort å tenke at tannhelsen bare handler om tannpussen morgen og kveld, men virkeligheten er at det du putter i matboksen din spiller en avgjørende rolle for om du trenger hyppige besøk hos tannpleieren eller ikke.
Kan innholdet i matpakken din faktisk spare deg for en ekstra tur til tannlegen? Svaret er ja. Små, bevisste valg i det du spiser til lunsj, når du spiser det, og hva du gjør rett etterpå, kan redusere dannelsen av plakk og tannstein betydelig. Dette handler ikke om kompliserte livsstilsendringer eller streng diett. Det handler om smarte mikrovaner som passer inn i en travel hverdag – vaner som gir deg mer kontroll over munnhelsen og sparer både tid, penger og ubehag på sikt.
Først hva er egentlig problemet
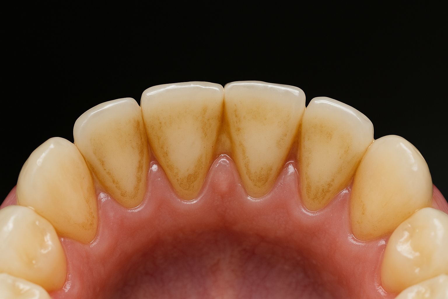
Tannstein er i bunn og grunn forkalket bakteriebelegg. Når du spiser, danner det seg en hinne av bakterier og matrester på tennene dine – det vi kaller plakk. Denne plakken kan du pusse bort med god tannhygiene, men hvis den får ligge i fred, begynner mineralene i spyttet ditt å feste seg til bakteriefilmen. Over tid forsterkes dette laget, og plakken forvandles til en hard masse som sitter godt festet til tennene. Det er denne harde, mineraliserte massen som er tannstein, og den kan ikke lenger pusses vekk med vanlig tannbørste. Den krever profesjonell fjerning med spesialverktøy hos tannlegen eller tannpleieren.
Tannstein dannes oftest på innsiden av fortennene i underkjeven, der spyttkjertlene under tungen ligger og kontinuerlig tilfører mineraler. Men det kan også utvikle seg langs tannkjøttkanten eller under tannkjøttet, der det er vanskeligere å oppdage. Mengden spytt du produserer og dens sammensetning er individuell, noe som forklarer hvorfor noen mennesker får mer tannstein enn andre selv med lignende pusserutiner. Noen har spytt som er rikere på mineraler, noe som gjør at plakk forkalkes raskere. Andre har bedre naturlig beskyttelse. Men uansett hvor du ligger på denne skalaen, kan du påvirke resultatet gjennom vanene dine.

Spis dette for å bremse bakteriefesten
Det finnes matvarer som aktivt bidrar til å holde munnen din sunnere, og det er lurt å inkludere noen av dem i matpakken. Det enkleste og mest effektive valget er vann. Vann er den beste tørstedrikken når det gjelder munnhelse, fordi det skyller bort matrester og nøytraliserer syre uten å tilføre sukker eller sure stoffer. Hver gang du drikker et glass vann etter å ha spist noe, hjelper du munnen din med å gjenopprette en sunn pH-balanse.
Harde oster fortjener en ekstra plass i matboksen. Ost bidrar til å nøytralisere syrebalansen i munnen etter et måltid, og den danner en beskyttende film på tennene som gjør det vanskeligere for bakterier å feste seg. I tillegg er ost en god kilde til kalsium, som er avgjørende for sterke tenner. En liten bit hard ost som Jarlsberg eller Norvegia etter lunsjen kan gjøre underverk. Meieriprodukter generelt, som naturell yoghurt uten tilsatt sukker eller melk, er også gode valg som bidrar positivt til munnmiljøet.
Knaskegrønnsaker og hard frukt gir en mekanisk renseeffekt mens du tygger. Gulrøtter, selleri, brokkoli og epler fungerer som naturlige tannbørster som stimulerer spyttproduksjonen og gnir forsiktig mot tennene. Spyttet som produseres hjelper til med å nøytralisere syrer og skylle vekk bakterier. Disse matvarene er ikke bare sunne generelt, de gir munnen din et etterlengtet «avbrudd» fra de glatte, myke matvarene som har en tendens til å sette seg fast mellom tennene. Her er noen eksempler på matvarer som hjelper:
- Vann – den beste tørstedrikken for å skylle og nøytralisere
- Harde oster som Jarlsberg, Norvegia eller Cheddar
- Knaskegrønnsaker som gulrøtter, selleri og brokkoli
- Hard frukt som epler og pærer
- Naturell yoghurt og melk uten sukker
Disse matpakkefellene gir tannstein overtaket
Det er lett å gå i matpakkefeller som ødelegger for munnhelsen, selv om intensjonen er god. En av de verste vanene er hyppig småspising gjennom hele dagen. Hver gang du spiser noe, senkes pH-verdien i munnen, og det tar rundt 30 minutter før spyttet har gjenskapt en nøytral balanse. Hvis du kontinuerlig spiser småttiser, holder du munnen i et konstant surt miljø som er ideelt for plakkdannelsen. Bakteriene trives i det sure miljøet og produserer enda mer syre, noe som forsterker problemet. Det er derfor mye bedre for tennene å holde seg til faste måltider fremfor å gruse gjennom dagen.
Sukkerholdig og stivelsesrik mat er supermat for de skadelige bakteriene i munnen. Loff, kjeks, boller, godteri og søtsaker gir bakteriene rikelig med næring til å formere seg og produsere syre. Selv «sunne» mellommåltider som tørket frukt er problematiske, fordi de er både sukkerrike og klebrige. De setter seg fast på tennene og gir bakteriene langvarig tilgang til mat. Hvis du absolutt må ha noe søtt, er det bedre å spise det sammen med hovedmåltidet enn som en separat snacks senere. Disse vanene gir grobunn for plakk, som over tid blir til det harde belegget vi kjenner som tannstein, og som krever mer enn bare tannpuss for å bli kvitt.
Sure drikker er en annen underestimert trussel. Juice, brus, sportsdrikker og til og med lettbrus tærer på emaljen og gjør tennene mer mottakelige for både plakk og tannstein. Syren i disse drikkene oppløser mineraler i emaljen, noe som etterlater tennene mer porøse og utsatte. Mange tror at lettbrus er et tryggere alternativ, men den inneholder like mye syre som vanlig brus og kan være like skadelig for tennene. Det samme gjelder juice – selv om den kan inneholde vitaminer, er den syrlig og ofte full av naturlig sukker som bakteriene elsker. Hvis du vil ha noe annet enn vann, er melk eller uaddet te bedre alternativer.
Smarte trekk rett etter lunsj
Det du gjør umiddelbart etter at du har spist lunsj, er nesten like viktig som hva du spiser. Det finnes noen enkle trinn som tar under to minutter totalt, men som kan gjøre en enorm forskjell for munnhelsen din over tid. Disse triksene passer inn i en travel arbeidsdag og krever verken mye tid eller utstyr.
Her er en trinnvis guide til hva du bør gjøre rett etter lunsjen:
- Skyll munnen med vann umiddelbart. Dette er det raskeste og mest effektive grepet. En god skylling med vann fjerner løse matrester og nøytraliserer noe av syren som dannes når du spiser. Du trenger ikke engang gå på badet – ha en vannflaske på skrivebordet og ta noen skikkelige skyllerunner i munnen før du svelger eller spytter ut.
- Vent med tannpussen i minst 30 minutter. Dette kan virke motintuitivt, men det er avgjørende. Hvis du har spist eller drukket noe surt, har emaljen blitt midlertidig mykere. Hvis du pusser tennene umiddelbart, risikerer du å slite på den myke emaljen og gjøre mer skade enn nytte. La spyttet gjøre jobben sin først, og puss tennene senere hvis du har mulighet.
- Bruk sukkerfri tyggegummi med xylitol. Tyggegummi stimulerer spyttproduksjonen, og spytt er kroppens naturlige forsvar mot syre og bakterier. Velg en variant med xylitol, som er et naturlig søtningsmiddel som har vist seg å redusere mengden skadelige bakterier i munnen. Forskning publisert i Frontiers in Nutrition viser at xylitol-tyggegummi kan redusere plakk med opptil 20% og senke nivåene av bakterier knyttet til karies og periodontitt.
Disse små grepene kan bygges inn i eksisterende rutiner. Akkurat som du bør vente med snusen til etter maten for å skåne tannkjøttet, er det også lurt å gi tennene litt ro etter måltidet før du utsetter dem for pusse- eller skrubberefleksen din. Gode rutiner etter måltidet er avgjørende for å opprettholde balansen i munnen og gi spyttet tid til å gjøre jobben sin.
Når du likevel må til pers hos tannpleieren
Selv om du gjør alt riktig med matpakken og rutinene dine, vil de fleste av oss trenge profesjonell rens med jevne mellomrom. Det er ingen skam i det – tannstein er noe de aller fleste utvikler i en eller annen grad, uansett hvor flinke de er til å pusse tennene. Det handler om biologi, spyttsammensetning og små områder i munnen som er vanskelige å nå med tannbørsten. Profesjonell tannsteinsfjerning er en forebyggende investering som kan spare deg for langt større og dyrere problemer senere.
Hvordan foregår en profesjonell fjerning av tannstein? Tannpleieren eller tannlegen bruker typisk et ultralydinstrument som vibrerer i høy hastighet for å knuse og løsne den harde tannsteinen fra tennene. For tannstein som sitter dypt under tannkjøttet, kan de bruke manuelle håndinstrumenter som kalles kyretter. Prosessen er vanligvis smertefri, men hvis du har følsomme tenner eller mye tannstein under tannkjøttet, kan det hende du får lokalbedøvelse. Etter fjerningen poleres tennene ofte for å jevne ut overflaten og gjøre det vanskeligere for ny plakk å feste seg.
Hvor ofte bør du fjerne tannstein? Det er individuelt og avhenger av hvor raskt du danner tannstein, kostholdet ditt, hygienevaner og gener. For de fleste er det tilstrekkelig å fjerne tannstein årlig som en del av den årlige tannlegekontrollen. Noen trenger det bare hvert annet år, mens andre som danner tannstein raskt kan ha nytte av rengjøring to ganger i året. Din tannlege eller tannpleier vil vurdere ditt individuelle behov og anbefale en passende intervall basert på tilstanden i munnen din.
Hva koster det å fjerne tannstein i Norge? Prisen varierer litt avhengig av klinikk, hvor mye tannstein som må fjernes, og om det krever ekstra tiltak som dyprengjøring under tannkjøttet. Generelt ligger prisen på mellom 500 og 1500 kroner som en del av en tannlegekonsultasjon. Det kan høres ut som mye, men investeringen lønner seg. Ifølge Norsk Tannpleierforening er regelmessig fjerning av tannstein avgjørende for å opprettholde god munnhelse og forebygge tannkjøttsykdommer som gingivitt og periodontitt. Ubehandlet tannstein kan føre til betennelser, tilbaketrekning av tannkjøttet, bennetap og i verste fall tannløshet – problemer som er langt dyrere og mer ubehagelige å behandle enn en enkel tannrens.
Ta kontroll over tannhelsen din en matpakke av gangen
Det tar ikke store omveltninger for å gjøre en reell forskjell på munnhelsen. De viktigste grepene er enkle: velg riktig mat (knaskegrønnsaker, hard ost, vann), unngå hyppig småspising og sure drikker, og gjør noen små men effektive tiltak rett etter lunsj som å skylle munnen og tygge xylitol-tyggegummi. Disse vanene kan redusere dannelsen av plakk og tannstein betydelig, og det er noe du har kontroll over hver eneste dag. Det handler ikke om perfeksjon, men om bevisste valg som gir kroppen din det den trenger for å beskytte tennene dine.
Se på disse små endringene som en investering i egen helse som betaler seg over tid. Du sparer penger på færre tannlegebesøk, unngår ubehag og smerte, og beholder et sunnere smil lenger. Det beste av alt er at disse vanene passer inn i en travel hverdag uten at det føles som et offer. Du trenger ikke endre hele livsstilen din – bare gjøre noen få smarte grep i det du pakker i matboksen, og i de to minuttene etter at du har spist. Det er en liten innsats for et resultat som gjør en avgjørende forskjell for både tannhelsen og trivselen din.

